虫歯が大きいと、歯の神経(歯髄)が露出してしまうケースがたくさんあります。この場合、ほとんどの歯科医院では
根管治療(抜髄)になります。
当院では、MTAセメントを使用して、歯の神経を残せる可能性がわずかでもあれば温存していきます。
MTAセメントは、歯髄の壊死・炎症が少なく、しかも、緊密に封鎖ができるため、菌の侵入を防ぐことができます。
このセメントの性質は強アルカリになるため、細菌を寄せ付けず、抗菌性が増します。


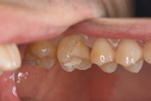
初診時【他院で根管治療を予定している】【封鎖性が悪い充填が施されている】
感染のリスクがわからないので、できる限り初めに受診していただくと成功率が格段に上がります


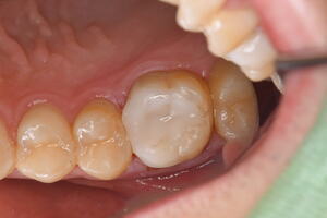
不良な充填物・虫歯を取り除くと歯髄が露出 MTAセメントで緊密に封鎖

レジン治療で終了
MTAセメント他院相場価格 税込22,000~55,000円
MTAセメント当院価格 0円(無料)
必ずしもMTAセメントを使用することで神経が100%残せるわけではありません。おそらく根管治療(抜髄)になったとしても
返金はしていただけないと思います。当院では、神経が残る、残らないにかかわらず無料とさせていただきます。
2021年07月28日 12:00