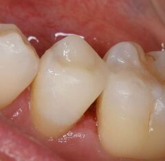
虫歯は削れば削るほど悪化する



歯は削れば削るほど、もろくなります。歯の表面のエナメル質に無数のひびが入ったり、インレー(歯の詰め物)
(虫歯よりもかなり大きく削る)を装着すると、くさびのような働きをして、歯が割れてしまう事があります。
一時治ったと思っても、長い目でみると歯そのものの寿命を短くしてしまいます。
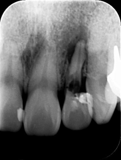
●大きく削ってインレーを詰めても細菌の取り残しがある→数年後、虫歯の再発
●大きく削ることで、別の痛みが引き起こされる場合がある
●削った部分がむき出しのまま、うがいをさせる。唾液で汚染される→さらなる虫歯や神経の炎症を起こす
歯科医院のユニット(診療台)から出てくる水は、恐ろしいほど細菌だらけです (下水で1万個)(診療台で10~1000万個)
(当院のユニットから出る水は除菌された機能水なので安心してください)
と、多くの問題があります。
2021年05月04日 09:59















