糖尿病は歯ブラシで治せる? 歯周病と糖尿病の関連性 糖尿病は歯科で予防する
糖尿病内科の患者様を紹介されることが多くなりました。(当院では1回歯周病治療を行っているので)糖尿病は自覚症状が出にくいため、糖尿病と診断されても、治療を受けない人、治療を中断する人が
およそ50%に及ぶそうです。そのまま放置すると、動脈硬化・脳梗塞・神経疾患・腎臓病・失明・認知症
足の壊疽などの合併症のリスクが高まります。
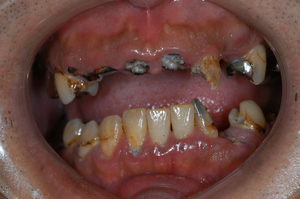
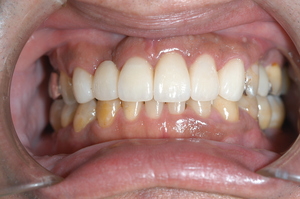
歯周病も糖尿病の合併症の1つと言われていて、深い関連性があります。
![070_040_01_01[1]_コピー](/materials/162273305686401.png?_=1622733058)
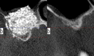
歯周病で歯ぐきに出血・炎症・膿があると、化学物質が血管を経由して血糖値を下げるインシュリンの働きを阻害します。
その結果、糖尿病になります。
炎症のある歯周ポケットの表面積は、手のひらサイズにもなります。手のひらサイズの出血・膿が治療なしで
そのまま放置されている。と考えると、ゾッとしませんか?
糖尿病は血管をボロボロにします。歯周病菌も血管をボロボロにします。
歯周病を改善することは、歯をキレイにすることだけでなく、様々な合併症のリスクを抑制して、健康な体を取り戻します。
2021年06月03日 15:00
![img03[1]_コピー](/materials/162264278603901.png?_=1622642786)












