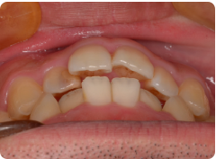
インプラント 歯周病

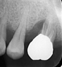
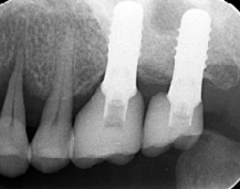
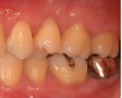
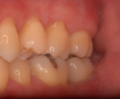
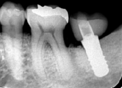
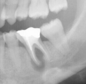
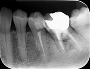
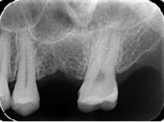
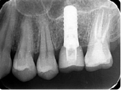
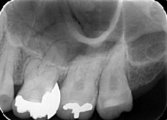
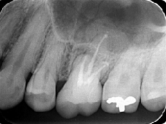
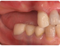
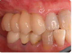
歯周病が進行し、グラグラして物が嚙めず、抜歯してインプラントにしていくことに。

インプラントはストローマンを使用、上部構造はジルコニアセラミックス
費用は2本で総額40万円(税込44万円)(他院の相場だと税込88万円位です)
高品質な材料を使用して、【安く、早く、上手く】をモットーにしています。
条件なしの10年保証です。
2021年04月25日 16:00
世田谷区三軒茶屋の歯科【STデンタルサロン】
HOME ≫ ブログ ≫
















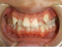
「上の前歯のデコボコを治したい」このような相談は、非常に多いです。
マウスピースで簡単に治せます。他院だと相場で1個につき20,000円前後。
当院は1個につき5,000円です。







