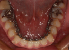
裏側矯正(メリット・デメリット)


裏側矯正のメリット
①外からは見えず、他人に気づかれないのが最大のメリット
②表側矯正では食べかすが残ってないか常に気を使いますが、裏側は見えないので
詰まっていても気にせず食事を楽しめる
③表側は器具が邪魔をして口が閉じにくいですが、裏側は付ける前と同じように閉じれる
④裏側は表面のエナメル質が表側の3倍も厚いので虫歯になりにくく、また、唾液がたまりやすいので
虫歯菌に侵されにくい傾向がある
⑤スポーツ等でぶつかった時に、口内を傷つけることが少ない
裏側矯正のデメリット
①装置が舌に触れることでスムーズな発音がしにくくなる(徐々に慣れる方が多いです)
喋ることを仕事にしている方は、マウスピース矯正を検討してみるといいです
②費用が他の装置と比べて高い
③食べずらさを感じることが多い
④装置を付ける前でも、表より裏側の方が歯磨きがしづらいのでさらに、磨くのが難しい
⑤表側よりも時間がかかる(装置を作成する時間)(歯を動かす時間)ので治療期間が長くかかる
2021年04月21日 10:00
