口もとに、あなたのすべてが表れる 日本人の歯は先進国最低レベル?
三軒茶屋駅徒歩30秒 土地柄なのか?ビジネスマンのメインテナンスの患者様が多いです。共通して言えるのが、歯の美意識がとても高い事です。仕事上、非常に【見た目】が重要だからと言います。

歯は、否応なく人目についてしまいます。
第一印象が仕事の良し悪しを左右する。決して大げさではなく、整った美しい口元は、それだけで、清潔感・
信頼感・信用をアピールし、出会いを素晴らしいものにします。
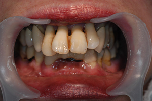
仕事のできるビジネスマンほど、ガタガタの歯の人はいないと思いませんか?

ガタガタの歯並び = 能力なし
歯がきれい = 日本人ではない(日本人の歯は汚いと思われている)
欧米では、このような認識が出来上がっているそうです。
自己管理ができていない・信用できない・付き合いたくない・だらしない・身だしなみがなっていない・
不潔・教養がない・・・
どんなに英会話を磨いても、服装やスタイルに気を遣っていても、口元が酷ければ全部台無し。
海外の方は、口元の印象で人を評価していると思った方がいいです。
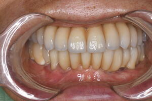
世界で活躍する方の条件は、歯です。

人の自信とエネルギーは、必ず口元に表れます。
自信を持って歯を見せて笑うことが、この人は感じがいい・素敵な人につながります。
見た目で損をしない、第一印象は変えられます。
2021年06月16日 17:00


















(約1年)