HOME ≫ ブログ ≫
ブログページ
新年あけましておめでとうございます
新年あけましておめでとうございます。2023年 本年は卯年・・芽を出した植物が成長し、茎・葉が大きくなる時期で
目に見えて大きく成長する年、飛躍する年と言われています。

卯年にあやかり、跳ね飛ぶウサギのごとく、過去の自分を飛び越えて飛躍、向上し駆け抜ける年に。
スタッフ一同『歯の健康』をしっかりサポートし、ご来院の皆様のたくさんの笑顔に出会える1年にしていきます。
5日(木)より診療を開始致します。
本年もどうぞよろしくお願い致します。
2023年01月01日 10:01
マウスピース矯正 アクアシステム インビザライン



気になる部分だけ、必要な歯1本から動かせます。全体を動かす矯正治療に比べて、治療期間も短くすみます。
今なら1回上下顎合わせて5,500円から始められます。(他院だと1回片顎当り22,000円前後、上下顎で44,000円が相場です)
診断後、翌日から始められます。(他院だと2週間前後かかります)
2022年11月05日 10:00
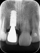
ストローマンガイドシステム 安全なインプラント計画 ステント サージカルガイド

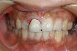
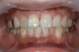
自転車で転倒し前歯が根本から折れてしまい、抜歯に至ったケース

このケースは感染していないので、抜歯と同時にインプラント埋入

埋入後、3か月で終了
2022年11月04日 10:00
夏季休暇のお知らせ
スタッフ一同心ひとつに、どのようにして患者様と心を重ねるべきかを考える期間として、下記の日程にて夏季休暇を頂戴致したく存じます。
8月2日(火) 夏季休暇
8月3日(水) 休診日
8月 4日(木) 夏季休暇
を夏季休暇とさせていただきます。
期間中ご迷惑をお掛け致します。
2022年07月25日 15:00
要介護者の口腔ケア 誤嚥性肺炎 感染リスクを下げるために
要介護4以上になると、誤嚥性肺炎の発症率は急激に高まります。
介護度が上がる前から、適正なブラッシング時を継続して行うことが大切です。
● 奥歯から手前に掻き出すようにして磨きます。
● 歯磨き粉が泡立ちすぎて磨きにくいなら、洗口剤のコンクールFやポイックウオーターを歯ブラシに
こまめに浸して磨くのもお勧めです。
● これらで磨いても、虫歯・歯周病予防に効果が期待できるのと、アルコール濃度が0.2%以下なので
他社のメーカーの洗口剤よりも刺激が少なく安心して使用できます。
● プラーク(歯垢)の付着を抑制する効果もあります。
● 嘔吐反射が強い方は、上顎臼歯部頬側面からが磨きやすいです。
2022年07月02日 18:00
要介護者の口腔ケア 感染予防 感染リスクを下げるために
生涯にわたって自分の歯で美味しく食べること。そのためには、歯科医院での定期的なメンテナンスが欠かせませんが、今後、残念ながら来院が難しくなる患者が増えていくことが予想されます。介護なされる方は、以下のことで
効率良く、的確なケアを行えると思います。
① 細菌・ウイルスは、口腔内に多く潜んでいます。飛沫感染による感染リスクを下げるために、まず初めに洗口剤(コンクールF,
ポイックウオーター)を使用します。

② 綿棒や指(グローブをすること)で口唇や口角にワセリンを塗ることで、裂けることを防ぎます。
③ 口が大きく開かない時は、蒸しタオルで首からお口周りを温めると効果があります。

④ ブラッシング時は、正面に立たず、常に横から行うようにすると、飛沫や、ブラッシング時のエアロゾルの飛散が顔に
かかることを防げます。

2022年07月01日 16:00
正確で安全なインプラント手術 低価格で高品質 安心の10年保証(条件なし)
安心・安全なインプラント手術の成功の鍵は、CT撮影によるCTデータと口の中のデータのマッチングです。このシュミレーションで作成されたサージカルガイドを使用することで、さらなる安全性の向上が得られます。


●熟練した歯科医師の経験と技術で手術時間の短縮(早ければ5分から10分)、患者負担の軽減
●骨の厚みはもとより、神経・血管の位置や走行まで全ての角度から把握できる
●事前に安全な治療計画が立てられ、精査できる
当院では、インプラント相談、CT撮影、診断、サージカルガイド、メインテナンス(定期検診)は、全て無料です。
インプラントは、世界シェアナンバー1のストローマン使用、このインプラントは、今まで4~6ヶ月かかっていたものが
3週間と超最短で骨とくっついてしまうのが、最大の特徴です。
上部構造(被せ物)は100%ネジ止め固定です。

セメント固定ではないので、適合がよく、急な脱落(歯が外れる)のリスクもありません。
2022年05月18日 10:00
お酒を飲まない人も要注意 歯周病細菌で非アルコール性脂肪性肝疾患が悪化
非アルコール性脂肪性肝疾患は、顕著なアルコール摂取がなくても、肝臓に脂肪が蓄積します。お酒を飲まない人も要注意です。(食べ過ぎ、運動不足が原因)

日本でも1000万人以上の人が罹患しています。
今回、この疾患の悪化に、飲み込まれた歯周病原細菌(特にジンジバリス菌)が関係していることが分かりました。
(今までメカニズムまで明らかにされていませんでした)
ジンジバリス菌は、腸内細菌の機能や代謝物を変化させ、腸管のバリア機能も低下させて、肝臓に悪影響を。

口の中を健康に保つことは、腸内環境を通じて全身の健康にも深く関わっています。
口腔ケアは大事です。
2022年04月19日 15:00
歯周病菌が血管の修復を妨げる ジンジバリス菌 吸血鬼
ポルフィロモナス・ジンジバリス菌・・・慢性歯周炎に関わる最重要歯周病細菌で、歯周ポケットの深い所に生息して歯周組織を直接破壊していきます。

最近になり、この歯周病菌が血管の修復を妨げ、全身疾患に悪影響を及ぼす可能性があることが報告されました。
普通、出血が起こると血管内皮細胞が移動するように破れた穴を塞ぎます。しかし、ジンジバリス菌がこの修復作用を
妨げることによって、歯周ポケットの出血が持続、吸血鬼のように血液を餌にして数百倍から数万倍まで増殖します。

歯周病を悪化させるだけでなく、破れた血管からジンジバリス菌が体内に侵入することで、アルツハイマー病や血栓を
作りやすくすることで心筋梗塞の発症リスクを高くします。
アテローム性動脈硬化症の45%に検出されています。

2022年04月13日 18:00