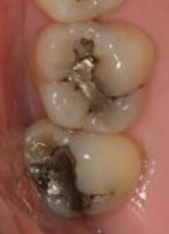
2・銀歯から始まる 歯を失う連鎖
なぜ、適合が悪い銀歯が多いのか?


●そもそも歯科医師も技工士も腕が悪い
●治療にかける時間が短い(赤字になる)(30分以内なら手抜きの可能性も)
(待合室が混んでいたりしたら、複数の患者を同時に見ていることもある)
●再製作するコストをかけたくないので、不適合のまま入れてしまう
(適合が合うまで何度でも再製作してくれるのが良い歯科医師)
虫歯治療の選択肢は、銀歯(保険診療)、レジン治療(保険、自費)、セラミック(自費)の3つです。
どれを選んでも100%壊れない保証はありませんが、レジン治療は、この中では、歯を削る量が最も少なく、
1回で治療が済み、安い費用でできるのが最大のメリットです。
ただし、歯科医師の技術に左右され、治療時間がかかる割に儲からないので、利益の大きいセラミックを
勧めるところが多いです。
2021年12月04日 11:00
