1・銀歯から始まる 歯を失う連鎖
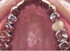
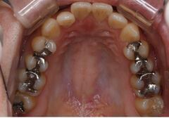
成人のおよそ80%の方に、銀歯が口の中に入っています。

今でも虫歯の治療は、銀歯が主流ですかね?
私は20年近く、銀歯を入れたことがないので、そこの所をよく把握していないのですが。
初見の虫歯であれば、ほぼ100%レジンで治療可能です。

虫歯になる→歯を削る→型を取る→銀歯を入れる→虫歯が再発→大きく歯を削る→神経を抜く→
金属の土台を入れて銀歯を被せる→歯根破折を起こす→抜歯になる
私は決して銀歯を否定しているわけではありません。
適合の良い銀歯は、セラミックに比べ安価で、丈夫で、歯を削る量も少ないので、いい材料だと思います。
実際に、何十年もトラブルなく経過しているケースは多々あります。
ただし、圧倒的に適合の悪い銀歯が多いのが実情ですけど。
2021年12月03日 19:00
