仮歯を入れない? インフォームドコンセントの大切さ 虫歯は2の次?
虫歯を取り残して詰め物をしたり、根管治療が不十分、適切な形成・型取りができていないのに高価な被せ物をしたりと、基礎治療ができていないのに素材だけはいいものを進めてくる風潮があります。

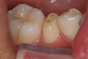
虫歯の為、他院で神経を抜く治療を施され、次回セラミックを被せる予定らしいです。(15歳男性)
そもそも治療を始めて数か月間、一度も仮歯を入れていないそうです。

数か月治療しているにもかかわらず、痛みのある虫歯が手つかずの状態です。(1回で終えられるはずです)
口腔内全体を見ずに、1本の歯しか診ていません。
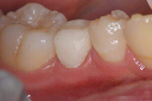
広範囲にわたり歯を削った場合は、本番の歯が入る前に仮歯で、歯ぐきの調和を図ったり、磨きやすい形態か、物が詰まりやすくないか、
かみ合わせは問題ないか、など事前にしっかり確認しておかないと、本番の歯を満足したものに仕上げられません。仮歯は非常に重要なものなんです。
どんなにいい材料を使っても、適切な治療やかみ合わせに不具合があれば、歯の寿命に影響を及ぼします。
技術の優れた医院選びをすることが大切です。

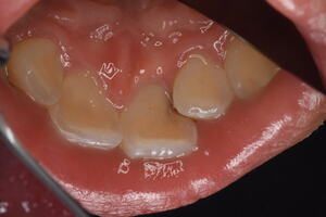
セカンドオピニオンでしたが、このまま帰すわけにはいかないので仮歯を装着して(無料)、担当医とよく話し合うことを進めました。
初回の虫歯で抜髄(神経を抜く)をしたとしても、ここまで歯を大きく削ることは、当院ではあまり経験がありません。
神経を抜く=広範囲に削って全部被せる(全部被覆冠)という風潮もまだまだ多くの医院で残っています。
2021年11月09日 10:00
