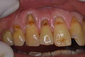
酸蝕歯 酸蝕症(PH5.5以下) 第3の疾患
酸蝕症は、歯の表面が徐々に溶けてしまう症状で生活習慣病の1つです。(4人に1人は酸蝕症)エナメル質は、身体の中で最も硬い組織ですが、想像以上に酸に弱く、いとも簡単に溶けてしまいます。


虫歯や歯周病に続く第3の疾患です。虫歯との違いは、細菌(虫歯菌)が関与して発症するのではなく、
酸性度の高い飲食物や胃酸によって引き起こされます。
酸性度の高い飲食物


その他に、ビタミンCなどのビタミン剤、鉄分サプリ、アスピリン(酸性)、逆流性食道炎・摂食障害による胃酸(PH1)等
1日2回程度でも、酸が歯に触れるとエナメル質が溶けるリスクにさらされます。
予防対策はとても大切です。
●酸性の飲食物を口にした後は、水で口をゆすぐ
●だらだらと食べたり飲んだりしない
●寝る前は控えること(唾液の分泌量が減り、中性に戻りにくい)
2021年11月20日 10:00
