ストレスが新しいタイプの虫歯を作る? マイクロクラック
虫歯は感染症です。虫歯菌が出す酸で歯が溶かされ、穴が開きます。(通常の虫歯のでき方)近年は、新しい虫歯のでき方が増えています。
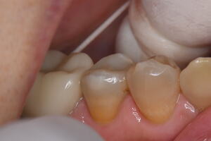
ストレスな生活環境が増えることで、歯ぎしりする時間が増し、これが原因で、歯のエナメル質に小さな亀裂が入ります。
この隙間(マイクロクラック)に虫歯菌が侵入することで、虫歯ができてしまいます。


対策として
●ストレスを減らす
●ストレスに強い心を養う
●歯ぎしり用のマウスピースを使う
●歯ぎしりすることを自覚して、注意しながら生活習慣をおくる
2021年09月29日 16:00
