審美歯科 1回で治るレジン治療 保険診療でキレイに
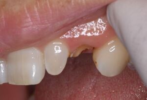
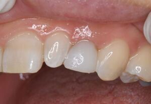
側切歯(2番)と犬歯(3番)の間に乳歯が残存。その乳歯が折れたので他院を受診したが、抜歯してインプラントをすすめられる。抜かずに治療できないか相談。


初診時(残根状態) レジン治療終了時
本来ならば、乳歯を抜歯して、この場所に犬歯を矯正で移動したほうが理想的ですが、費用と時間がかかります。
迷っている時は、直ぐに抜歯したりせず、レジン治療で修復。残根でも残っていれば安定します。
2021年08月20日 15:00
世田谷区三軒茶屋の歯科【STデンタルサロン】