審美歯科 1回で治るレジン治療 保険診療でキレイに
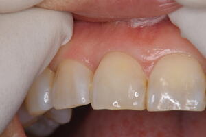
前歯の詰め物(レジン)の見た目の改善を希望されて来院。セラミック治療をすすめられたが、費用が高いのと、これ以上歯を削りたくないと言うご要望にお応え。
保険診療でのレジン修復で治療。


初診時 レジン治療終了時
1回で治るレジン治療。患者様のご要望に沿って治療いたします。当院から高額な治療をお勧めすることはありません。
最善の治療方法を一緒に考えていきます。
当院で使用しているレジンは、変色しませんので長く綺麗に保てます。
2021年08月16日 11:00
