抜かずに治療することはできませんか? 再生療法
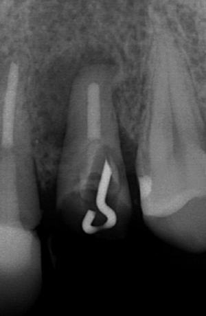
左上犬歯が腫れて、かかりつけ医を受診。抜歯をしてインプラントを勧められた。抜かずに歯を残して欲しいと、当院を受診。


CT撮影 根の脇に大きな病巣を確認。根管治療でのパーフォレーション(穿孔、穴が開く)が原因。


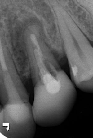
健全な歯根膜を利用して挺出、回転させ、こつの再生を促す。


挺出終了、180度回転させて歯の安定を待つ きれいに骨が再生している
抜歯、インプラント治療を避けることが出来ました。当院では、ダメになった歯でも骨を再生することに利用できれば
すぐ歯を抜くことはせずに活用していきます。
2021年08月12日 12:00
