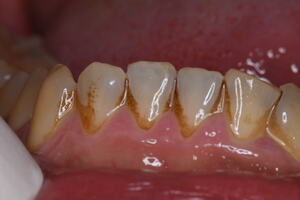
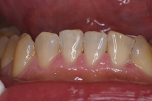
1回で歯周病治療完了 1回で治る歯周病治療
当院では、欧米で標準となっているパウダーメインテナンスを取り入れています。歯に微細な粒子をスプレーのように吹き付けることでプラーク(歯垢)を除去する最新のメインテナンス方法です。




パウダーメインテナンスの特徴
●歯を傷つけるリスクがない(歯肉や歯根面を傷つけない優しいトリートメント)
●痛くない
清掃の難しい所を何度も触れないので、歯へのダメージがほとんどない
●プラークの除去効率が高い
現在多くの歯科医院で行われている器具では、入らない隙間に取り残しができてしまう
器具が入らない・届かない隙間も清掃でき、より素早い清掃が可能
●従来の不快な振動やキンキンという音がなく、リラックスできる
●効果的で広範囲なバイオフィルムの除去が可能(歯周ポケットやインプラント周囲も可能)
●矯正装置の周囲の清掃にも最適


歯科衛生士に、歯石を取る際、このような器具で歯をガリガリとされたことのある方は多いと思います。
これでは、歯をすり減らす危険性があり、知覚過敏(水でしみる)を誘発してしまいます。


1回当たりの歯質切削量を考えて、適切なストローク回数を理解しながら行っている人がどれだけいるでしょうか?
ルートプレーニング(歯根面を滑沢にすること)のチャンスは、1回しかありません。(セメント質の厚み 20μm)
実際に、ルートプレーニングの必要性がないと判断されるケースが多いのも事実です。
今は歯根面(歯のセメント質)を乱暴に扱わない事が鉄則になっています。
これらのことを比較すると、パウダーメインテナンスは、より早く、より広範囲に、より安全に、痛みなく
メインテナンスを確実に行える非常に優れたメインテナンス方法です。
2021年08月06日 12:00
