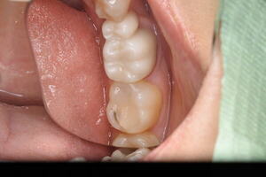
セレックインレーの不適合で虫歯が再発
セレックインレーの破折・ダツリが非常に多いです。出来の悪いセレックインレーが口の中に入っているのをたびたび見かけます。適合の甘いものをセメントでくっつけている。形の悪いものを入れてしまう。
そのせいで磨きにくい状態が出来上がってしまう。その結果、虫歯・再発やダツリを繰り返し歯周病も悪化させてしまうケースが多いです。


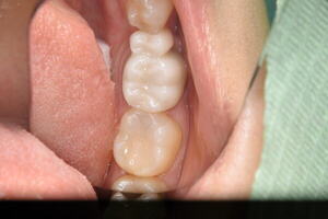
適合が悪いため、虫歯が再発 虫歯を取り除き治療終了
歯科のデジタル化のスピードも早く、新しいものがすぐ出てきますが、しっかりと使いこなしてメリット・デメリットを正確に伝えていかないと患者がかわいそうです。
●メリット
1日で治療が終えられる
●デメリット
技工士がハンドメイドで作成したものには劣る(適合、形態)
自由診療である(費用が高い)
装着が煩雑でフロスが引っ掛かるケースが多い(歯科医師のテクニカルエラー)
その治療が第3者が見れば、評価することができますが、通常は主治医が治したといえば、そこで終わりです。
やり直しの治療がまだまだ多い現状で、患者自身が正しい目をもって、自分が受けた治療を見ていくことも大切になってきます。
2021年07月24日 12:00
