根管治療

歯の神経は非常に複雑な形をしているため、肉眼だけでは精密な根管治療を行うことは困難です。しかし、マイクロスコープを使用することで、根管の状態を正確に確認することが可能となり、精密かつ正確な治療を行うことにより根管治療の成功率を高めることができます。・・・・・


このようにホームページで書かれていることが多いですが、マイクロスコープ使用の有無、ラバーダム使用の有無だけが、
成功に関わる要因では決してありません。1にも2にも歯科医の腕です。技術です。(残念ながら技術は、外からは見えません)
患者様の立場になってみると、きちんとした治療を受けたいと思っても、
どこを選んでいいかわからないという話をよく聞きます。
様々な団体の認定歯内療法専門医・認定医が沢山います。選ぶ指標になるかもしれません。
この患者様もホームページで専門医ということが決めてだったそうです。(後悔してますが)
そもそも歯内療法専門医は、厚生労働省より認められていないので、
ホームページに掲載、表記は禁止とされています。
担当の先生とよく相談し、納得して治療を受けないといけません。メリット・デメリット・費用
期間・保証など自分の気持ちをよく聞いて下さる先生と出会えるまで何軒もまわるしかありません。
うまく治療が進んでいるのか、その都度、第3者の先生にチェックしていただくのもいいかもしれません。
歯の根の治療に約1年通院しており、神経(歯髄)を取ったはずなのに、いつまでも
痛みが取れず、心配になり当院に来院。お話を伺うと、ホームページでマイクロスコープを
使用する歯内療法専門医院だったそうです。


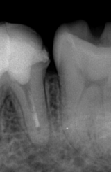
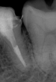
初診時(デンタル) 初診時(CT)
根管充填が不十分で、すき間もあり不良である


すき間なく緊密に根管充填されている
再感染リスクを抑える垂直加圧方式で充填しています(すき間が生じにくい)
根管治療は1回で終了。
保険適応内で治すと、時間がかかる・痛い思いをする・終わりが見えないと、よく書かれていますが、
ほとんどの治療は1~2回で終了です。回数が増えれば、感染リスクも高くなりますから。
当院では、根管治療は、保険治療です。1人にかける治療時間は、1時間~1時間半とります。
ラバーダム・ルーペの使用はもちろん、CT撮影も無料です。無菌的処置にもこだわっております。
滅菌した器具・ディスポーザブルの器具のみ使用。

破折ファイルの予防のため、NiTiファイル・SSファイルは全て使い捨てにしています。
2021年06月26日 15:00
