歯に黒い点? 初期虫歯 すぐ削らないが鉄則
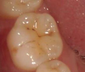
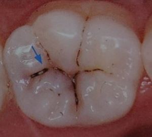
歯の溝に黒い点や線がある方は、多くいらっしゃると思います。虫歯は、虫歯菌の出す酸によって歯が溶かされてできてしまいます。

歯の溝に着色がつき、初期虫歯の段階です。このケースは、歯を削って詰めるのではなく、経過観察します。
唾液からカルシウム成分を取り込んで進行を止めたり、回復できることも分かってきました。


中には、歯の中で大きく広がる虫歯(隠れ虫歯)も存在するので、気をつけて見極めないといけません。
特に虫歯の進行の早い6歳~18歳までは、ほとんど症状が出にくいため、注意が必要です。
虫歯が出来やすい人・出来にくい人の違いは・・・
唾液の分泌量・唾液の質・虫歯菌の量・食事の取り方・食事の時間・食事の回数・歯磨きの仕方・フッ素の使い方
などをコントロールする事によって、虫歯予防を図ることができます。
歯科医師によって考え方は違いますが、今では、虫歯を早期に発見しても、すぐには歯を削らず、定期検診をしながら
長期で管理していく流れに変化しています。
2021年06月30日 10:00
