歯肉退縮 歯ぐきが下がる 歯周形成外科
歯肉退縮に対する審美性の改善を目的とした歯周形成外科を積極的に行っています
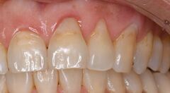
数年前から前歯の歯ぐきが下がりはじめ、根本が見えており、
見た目の改善を求めて来院

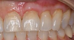
元の状態に歯ぐきが戻り、大変満足していただきました
費用 他院相場価格 1歯 10万円~15万円(税込11万円~16万5千円)
当院価格 1歯 保険診療でできます インプラント・矯正後の方は無料です
治療回数 1回
2021年05月10日 10:00
世田谷区三軒茶屋の歯科【STデンタルサロン】